在各式各样的糖衣炮弹中
在千奇百怪的整蛊高招中
在永无止境的大胆表白中
首先,红房子必须站出来了!
医学秉承严谨态度
我们没有愚人节!
愚人节
红房子带你看胎宝宝的最真实场景
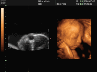
怀孕对于每个渴望拥有孩子的女人来说都是一件快乐的事情,能够生出一个健康的孩子也是每一个孕妈的心愿,而超声影像(四维彩超)作为孕期的重要产前筛查手段,不仅可以查出孩子的大小、与孕周是否相符、羊水、胎盘等情况,还可以提前查出宝宝是否有先天缺陷,便于及时采取干预措施,最重要的是,有了四维彩超,你能真实地看到胎宝宝在你肚子中的喜怒哀乐,真实地与你肚子里的宝宝隔空约会!

活泼的小宝宝,在妈妈肚子里手舞足蹈
颇有迈克杰克逊的影子,未来给TA学跳舞吧!

表情丰富的小宝宝,时嘟嘟嘴时而抿嘴唇
以后让你去学表演吧,力压现在当红小鲜肉哦!

这个小宝宝好安静
以后肯定是个懂事的好baby!

双胞胎,头对头好有爱
以后长大了也要一直友爱下去哦!

美国GE-E8四维彩超
让你更真实看到肚子里的小宝宝
我院引入的美国高清GE-E8四维彩超是目前世界上最高端的四维彩超设备,它是世界上第一个具有真正容积超声显像技术的产品。能360°立体展示胎儿各器官的发育情况,应用于胎儿产前排畸及缺陷儿终极诊断,并完整记录胎儿宫内高清动态。
红房子医院温馨提示:四维彩超排畸筛查,最佳检查时间在22-26周,孕妇过来检查前,不需空腹,不需憋尿!












